- まつうら歯科
- 歯周病
歯周病

歯周病は、40歳以上のなんと8割の人がかかっていると言われます。
虫歯と歯周病は放置したままでは絶対に治らない病気で、どちらもプラーク(歯垢)が歯に付着し、細菌が歯や歯ぐきを侵すことによって起こります。正しいブラッシングによって予防することが可能で、程度の軽い歯周病なら治るケースも多くあります。虫歯と歯周病の正しい予防・治療を行い、80歳で20本以上の歯を一緒に残していきましょう。
歯周病とは
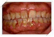
歯周病とは、歯の周りの歯肉(歯ぐき)や歯槽骨に起きる病気で、以前は、「歯槽膿漏(しそうのうろう)」と呼ばれていました。虫歯と違い痛みがないため、発見が気づかずに歯周病にかかっている方が多くいらっしゃいます。歯茎が腫れる、口臭がひどくなる、歯がぐらつくなどの症状が気になる方は早めに歯科医院へ受診することをおすすめいたします。歯周病は歯を失ってしまう原因の1位です。放置していて治ることはありませんので、手遅れになる前にご相談ください。
歯周病の原因
歯周病(歯槽膿漏)とは、歯垢(プラーク)や歯石の中の細菌が出す毒素によって歯を支えている周りの組織が破壊され、骨がなくなり、最終的には歯が抜け落ちてしまう病気です。歯周病(歯槽膿漏)は歯周病菌が人から人へ移る感染症です。歯周病(歯槽膿漏)を悪化させる他の要因として、歯ぎしり、バランスが崩れた無理な力の咬み合わせ、喫煙などがあります。
歯周病の症状
このような症状がある方は歯周病(歯槽膿漏)の症状の疑いがあります。

- ・歯ブラシ時に歯ぐきから出血がある
- ・口臭が気になる
- ・歯ぐきが腫れる
- ・朝起きた時、口の中がネバつく感じがある
- ・歯がぐらついて硬いものが食べにくい
- ・歯茎をおさえると膿が出る
- ・歯と歯の間に物がよくはさまる
歯周病と全身との関係
歯周病の患者さんは、歯周病でない患者さんに比べ致命的な心臓発作を起こす危険が2.8倍、早産の確立が7.5倍高いということが最近のアメリカの研究でわかってきました。日本人の成人の約85%は何らかの歯周病に感染しているといわれています。歯についた歯垢は細菌のかたまりです、歯垢1ミリグラムの中に約1~2億個の細菌やうみが含まれており、私たちはそれを毎日飲みこんでいることになります。
細菌は口や血管から体内に侵入する
中、重度の歯周病になっている妊婦は早産(2500g以下の低体重出産)の危険が7.5倍も高いです。しかも歯周病は飲酒や喫煙よりリスクが高く早産の最大の危険因子と判明。歯周病を治すことで18%の早産が予防できると発表されました。また糖尿病の患者さんは以前から歯周病になりやすいことは知られていましたが、最近は逆に歯周病があると糖尿病の血糖値のコントロールが難しくなるとわかりました。したがって、歯周病を治療すれば血糖値が下がり、糖尿病がよくなっていくという好結果につながります。また、肺炎やぜんそく等の呼吸器系疾患にも歯周病がかかわっていることがわかってきました。
歯周内科治療とは
今までの歯周病(歯槽膿漏)は原因となる細菌を器具を使って取り除くというものでした。 歯ブラシで歯の表面の細菌の数を減らし歯石取りで細菌の棲みかを取り除き、歯周外科手術で骨から歯肉を剥がし、歯ぐきの奥の病巣を取り除く治療が主流でした。それでも、全ての歯周病菌を全滅させるのは不可能でした。歯周内科治療はこれまでとは異なった新しい考え方であり、薬で歯周病(歯槽膿漏)を治療します。この治療方法には5つの大きなポイントがあります。
①位相差顕微鏡での菌の確認
量が増えると歯周病(歯槽膿漏)を悪化させます。歯周病(歯槽膿漏)のひどい患者様の口の中にはたくさんいます。
カビ(カンジダ)
カビはどんな人の口の中にもいます。空気中を飛んでいますし、食べ物の中にも入っています。歯ブラシで掃除をしていても磨きずらい部分に溜まり、そこで成長していきます。カビですので臭いやネバネバした感じがあります。カビが溜まって成長すると歯茎に根をおろし歯茎は炎症を起こし簡単に出血するようになります。カビは根を下ろすときに酸を出しますので、知覚過敏がおきることもわかってきています。
スピロヘータ(歯周病菌)
本来これは口の中にいてはいけないものです。いわゆる悪玉菌です。動きが速くこの菌いると他の悪玉菌も増えてきます。この歯周病菌がいるということは現在歯周病(歯槽膿漏)が進行している状態か、将来歯周病(歯槽膿漏)が非常に進行しやすい状態にあるといえます。逆にこの菌がいないと歯周病菌は進行しないということになります。
②細菌の除去薬剤の内服

③カビの除去薬剤、あるいはカビ取り歯みがき剤での歯みがき

④除去後の歯石取り

⑤定期的なクリーニング(定期健診&PMTC)
除菌後の良い状態を維持させるためにも定期的なクリーニングが必要になります。歯周病(歯槽膿漏)は感染症ですので再感染を起こさないためにもお口の中を隅々まで徹底的にクリーニングするPMTCをおすすめします。
歯周内科治療一週間後の患者様の感想

- 歯ブラシ時の出血が止まった。
- 口の中がさっぱりしている。
- 朝起きた時の口の中のネバネバ感が消えた。
- 歯茎がひきしまった感じ。
*痛みを伴う麻酔や、
歯ぐきの切開を必要としない患者様にとって優しい治療です。
*歯ぐきの腫れや出血、口臭で悩んだり、
歯周病(歯槽膿漏)で歯を失う前にお気軽にご相談ください。
再発を予防するには
カビ菌は口腔内常在菌といって、口の中に必ず住み着いている菌です。徹底的にやっつけても空気中や食べ物や手の指などから再びお口の中に戻ってきます。全滅させることは不可能なのです。ですから毎日の歯みがきと歯科医院における定期的なプロフェッショナルクリーニングが大切です。カビ菌が増えすぎると歯ぐきが腫れるなど悪い影響が出てきます。また、カビ菌は歯周病菌の快適な住みかにもなりますので歯周病菌が再感染しやすくなります。定期的に歯科医院に通って歯周病菌が再感染していないか、カビ菌が増えすぎていないか、顕微鏡で確認しカビ菌が増えすぎないように専門の器具を用いてクリーニングを行う必要があります。
感染経路
生まれた時には人の口の中には歯周病菌は存在しません。しかし、もともといない歯周病菌がなぜ今、口の中にいるかというと人からうつされているのです。今も家族間でうつしあっている状態にあるかもしれません。回し飲みや回し食い、箸の使いまわし、キス、くしゃみなどが感染ルートとしてあげられます。菌が再びお口の中に入ってくると口の中で定着して歯周病を発症する可能性が出てくるということになります。特に危険なのは性感染です。せっかく歯周病を治してもパートナーからうつされたのでは意味がありません、パートナーの方と同時に治療なされることをおすすめします。
薬による歯周内科治療終了後に注意すべきこと
- ①歯周病は細菌による感染症なので、再感染に気をつけましょう。
- ②歯周病を起こす細菌が感染しにくいように口の中を清潔に保つようにこころがけましょう。
つまり歯石やカビ菌を定期的に除去して、そして毎日の適切な歯みがきをしましょう。 - ③歯周病を起こす細菌が再感染していないか、また口の中が再感染しやすい環境になっていないか、
歯科医院での顕微鏡を用いた定期健診を受けるようにしましょう。
3ヵ月に一度は歯周病のチェックを受けましょう
まずは患者さんご自身の口の中の細菌を減らすことがなにより肝心です。そのためには食後の正しいブラッシングが不可欠です。初期の歯周病は自覚症状が無く、知らない間に進行してしまいます。また、根の深いところについた歯石は自分ではとれません。歯科医院でしかできない治療がありますので、お気軽に「歯周病の検査をしてほしいのですが」と歯医者さんに声をかけ正しいアドバイスを受けましょう。











まつうら歯科 歯科口腔外科